ホワイトスポット
ホワイトスポットとは
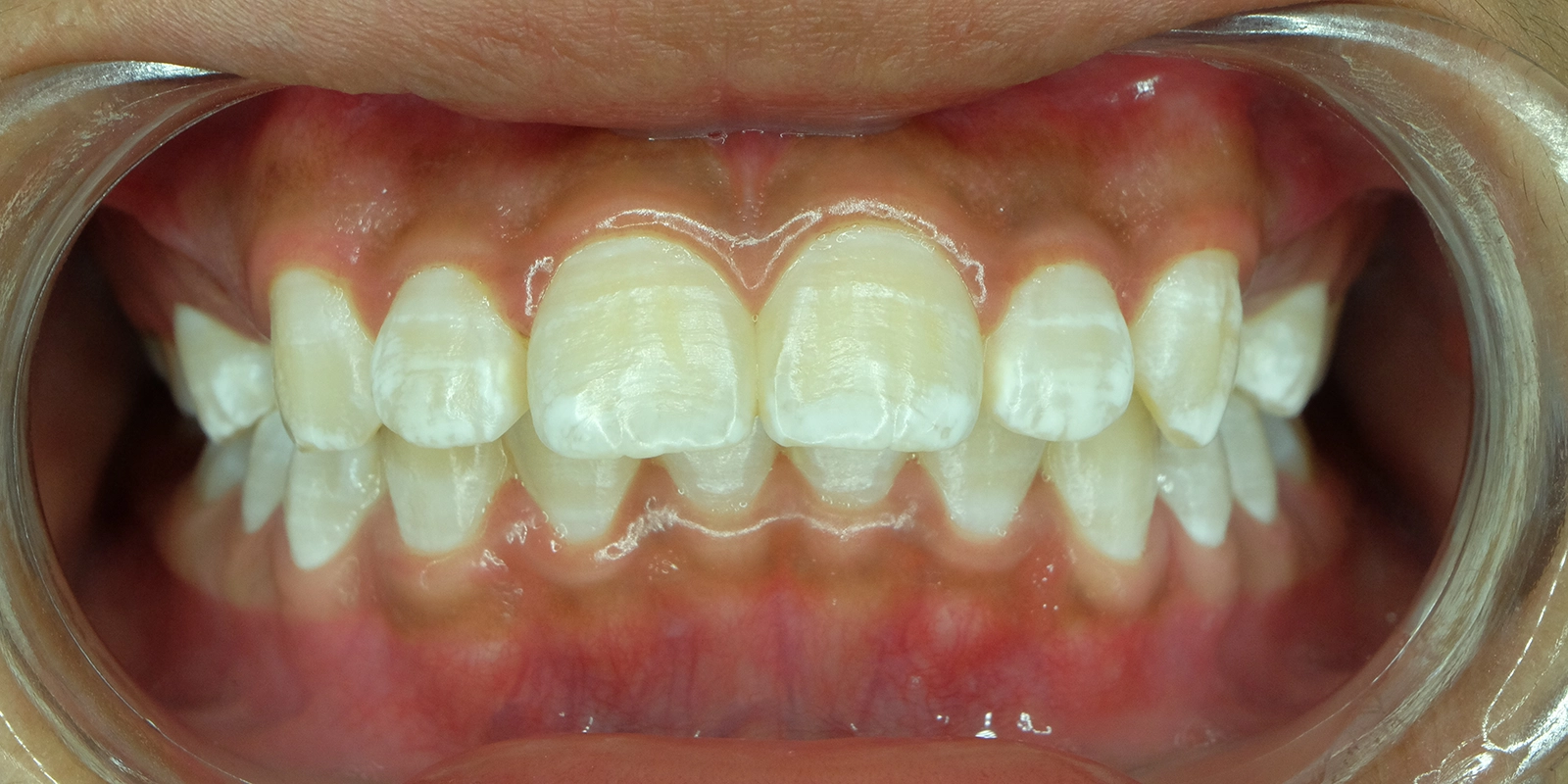
ホワイトスポットとは、歯の表面に現れる白い白斑やシミのような症状のことです。鏡で自分の歯を見た時に、歯の一部が周りよりも白く見える部分があれば、それがホワイトスポットです。特に前歯に現れることが多く、見た目を気にされる方が多い症状の一つです。
一見すると単なる見た目の問題のように思えますが、ホワイトスポットには様々な原因があり、それぞれに適した治療法が存在します。放置しておくと進行する場合もあるため、早めの診断と適切な治療が重要になります。
ホワイトスポットの原因
初期虫歯による影響
最も一般的な原因は初期虫歯です。この場合、「表層下脱灰」と呼ばれる現象が起こります。歯の表面直下でカルシウムやリンなどのミネラル成分が溶け出すことで、その部分に細かい空洞がたくさんできます。まるで軽石のような状態になった歯質に光が当たると、健全な部分とは光の屈折率や透過性が異なるため、白く見えるのです。
初期虫歯の段階では、まだ歯に穴は開いていませんが、ミネラルの流出は始まっています。この時点で適切な処置を行うことで、虫歯の進行を止めることができます。
エナメル質形成不全
生まれて間もない頃にかかった病気や栄養障害、遺伝的要因などにより、歯の表面のエナメル質が正しく作られなかった場合に発生します。乳歯に外傷や感染が起こると、その下に控えている永久歯の発育に影響を与え、ホワイトスポットが生じることもあります。
エナメル質形成不全は虫歯ではないため脱灰は起こっていませんが、エナメル質の結晶構造が乱れているため、健全な部分とは異なる光の反射を示します。症状によっては白ではなく茶色に見える場合もあり、その際は「ブラウンスポット」と呼ばれます。
歯牙フッ素症
歯の発生期(生後6ヶ月から5歳頃)に過剰なフッ素を摂取した場合に生じます。ただし、日本では水道水のフッ素化が行われていないため、この原因によるホワイトスポットはほとんど見られません。また、歯科医院で行うフッ素塗布では歯牙フッ素症は発生しませんので、ご安心ください。
当院でのホワイトスポット
治療法
再石灰化促進療法
軽度のホワイトスポットに対しては、まずフッ素やMIペーストなどの再石灰化促進剤を使用します。溶け出したミネラル成分を再び歯に沈着させる「再石灰化」により、初期虫歯はほぼ健全な歯質に戻すことができます。ただし、見た目の改善には限界があるため、審美的な改善を望む場合は他の治療法を検討します。
歯を削らない最新治療
(浸透性樹脂治療)
現在最も注目されている治療法です。ホワイトスポットを含めた歯の表面全体に、浸透性の高い特殊な樹脂を浸み込ませます。歯を削ることなく、歯の内部に樹脂が浸透してホワイトスポット内部を均質な状態にすることで、目立たない状態にすることができます。
この治療法の最大のメリットは、健康な歯質を削る必要がないことです。エナメル質を削ると歯は急激に弱くなるため、削らない治療法は歯の寿命を延ばすことにつながります。主に初期虫歯によるホワイトスポットに適応されますが、当院では独自のテクニックにより、エナメル質形成不全歯にも対応しています。
従来の治療法
症状が重度の場合や、削らない治療では改善が困難な場合は、以下の方法も選択できます。
詰め物による修復
ホワイトスポット部分を削り、白い詰め物(コンポジットレジン)で修復します。最も一般的な方法ですが、健康な歯質も削る必要があり、詰め物の定期的な交換が必要になります。
被せ物による修復
歯を大きく削って型を取り、セラミックの被せ物で覆います。色調の再現性は高いですが、侵襲性が大きく、健康な歯質を多く失うことになります。
思い当たる節があったら
まずは相談
ホワイトスポットは見た目の問題だけでなく、歯の健康状態を示すサインでもあります。原因によって最適な治療法が異なるため、まずは正確な診断が重要です。
当院では、できる限り歯を削らない治療を心がけており、最新の浸透性樹脂治療をはじめとした様々な治療選択肢をご用意しています。ホワイトスポットでお悩みの方は、お気軽にご相談ください。患者様一人ひとりの症状に合わせた最適な治療プランをご提案いたします。























